

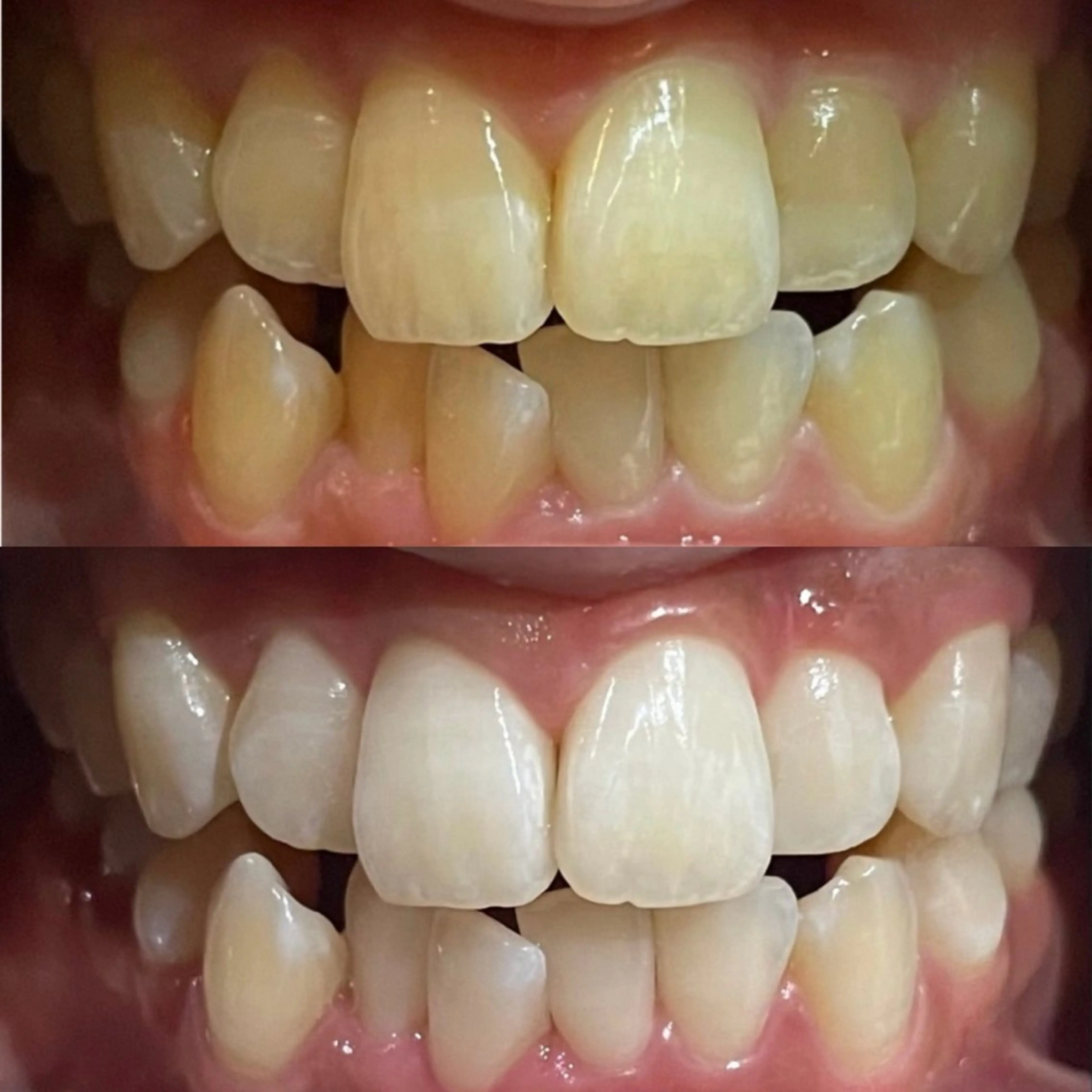
Relianaホワイトニング Reliana
経験年数 10年以上
池袋駅1分
更新
Reliana所属・ホワイトニング Relianaのメニュー
- 最短予約可能日
- 10/8 (水)
- 10/15 (水)
Reliana所属・ホワイトニング Relianaの口コミ
仕上がり・技術
5.0コミュニケーション・サービス
4.7ミニモでの対応
4.7
はるさんの口コミ
女性
しっかりまつ毛も上がってよかったです。 1時間程度で終わり、スピーディーでした! ありがとうございました。
来店日:2021年9月4日
Reliana所属・ホワイトニング Relianaのアピールポイント
歯科ホワイトニングやセラミックレベルの白さになれる🦷!池袋C3出口の目の前にある【完全個室】の結果を重視したホワイトニングサロン⭐︎
・歯の黄ばみが気になる ・人前で笑うことに抵抗がある、、 ・他店でやったけどあまり効果がなかった ・痛みが不安で踏み出せない そんな方は是非一度体験してみてください✨ セルフですが照射位置や薬液の塗布状態などはスタッフが確認させていただきサポートいたしますのでご安心ください。 ※まつ毛パーマや耳ツボジュエリーと同日施術で割引あり◎
Reliana所属・ホワイトニング Relianaのプロフィール
- 性別
- 女性