
セルフホワイトニングサロンMW 錦糸町店所属・セルフホワイトニング サロンMW錦糸町店のメニュー
- 最短予約可能日
- 12/19 (金)
- 12/20 (土)
- 12/21 (日)
セルフホワイトニングサロンMW 錦糸町店所属・セルフホワイトニング サロンMW錦糸町店の口コミ
仕上がり・技術
3.7コミュニケーション・サービス
3.7ミニモでの対応
3.7
- 掲載者がピックアップ

Mさんの口コミ
女性 / 30代前半
スタッフさんのご提案な説明、対応、そして価格とっても驚きました! そして駅からも近くわかりやすく立地、店内も綺麗で2ペース区切られていて空間も良かったです。また是非お願いしたいです。歯を出して笑うのに自信がつくようなトーンアップありがとうございました!
来店日:2024年6月12日
セルフホワイトニング サロンMW錦糸町店さんからの返信
M 様 この度は、セルフホワイトニングサロンMW 錦糸町店をご利用いただきありがとうございました^^ オフィスホワイトニングのご経験があり、元から白くて素敵だなと印象的でした☆ 安心して施術を受けられて、当店のホワイトニングの効果もご実感頂けて、更にお白くなられて大変嬉しく思います♪ 歯が綺麗になると、顔の印象が良くなって鏡を見るのも楽しくなりますよね♪ これからも、ぜひ一緒に美歯をキープしていきましょう(*^_^*)☆ M 様により満足していただけるよう、これからも全力でサポートさせて頂きますので今後ともよろしくお願いいたします! また、楽しくゆっくりと会話できたら嬉しいです♪ 高評価に嬉しいお言葉ありがとうございます! 次回のご来店も心よりお待ちしております^^
返信日:2024年6月12日 
Kaさんの口コミ
女性
そんなに変わらないと思ったらびっくり! 最初で6トーンくらい上がりました。 元々白いほうだと言ってもらえましたが、感動でした。 お店の方はとても親切で丁寧に教えてくださり、店内も清潔感があってよかったです。結婚式が近いので回数券を買ってしまいました! また通うのが楽しみです♡ ありがとうございました!
来店日:2023年9月14日
セルフホワイトニング サロンMW錦糸町店さんからの返信
Ka 様 この度は、セルフホワイトニングサロンMW 錦糸町店をご利用いただきありがとうございました。 当店のホワイトニング効果の実感をしていただいたみたいで自分の事のように嬉しいです^^ Ka 様の理想を目指し、よりご満足していただけるようこれからもサポートに尽くさせていただきますので今後ともよろしくお願いいたします。 またのお越しをお待ちしております。 この度は、高評価にご丁寧に嬉しいお言葉まで書いていただきありがとうございました^^
返信日:2023年9月15日
セルフホワイトニングサロンMW 錦糸町店所属・セルフホワイトニング サロンMW錦糸町店のアピールポイント
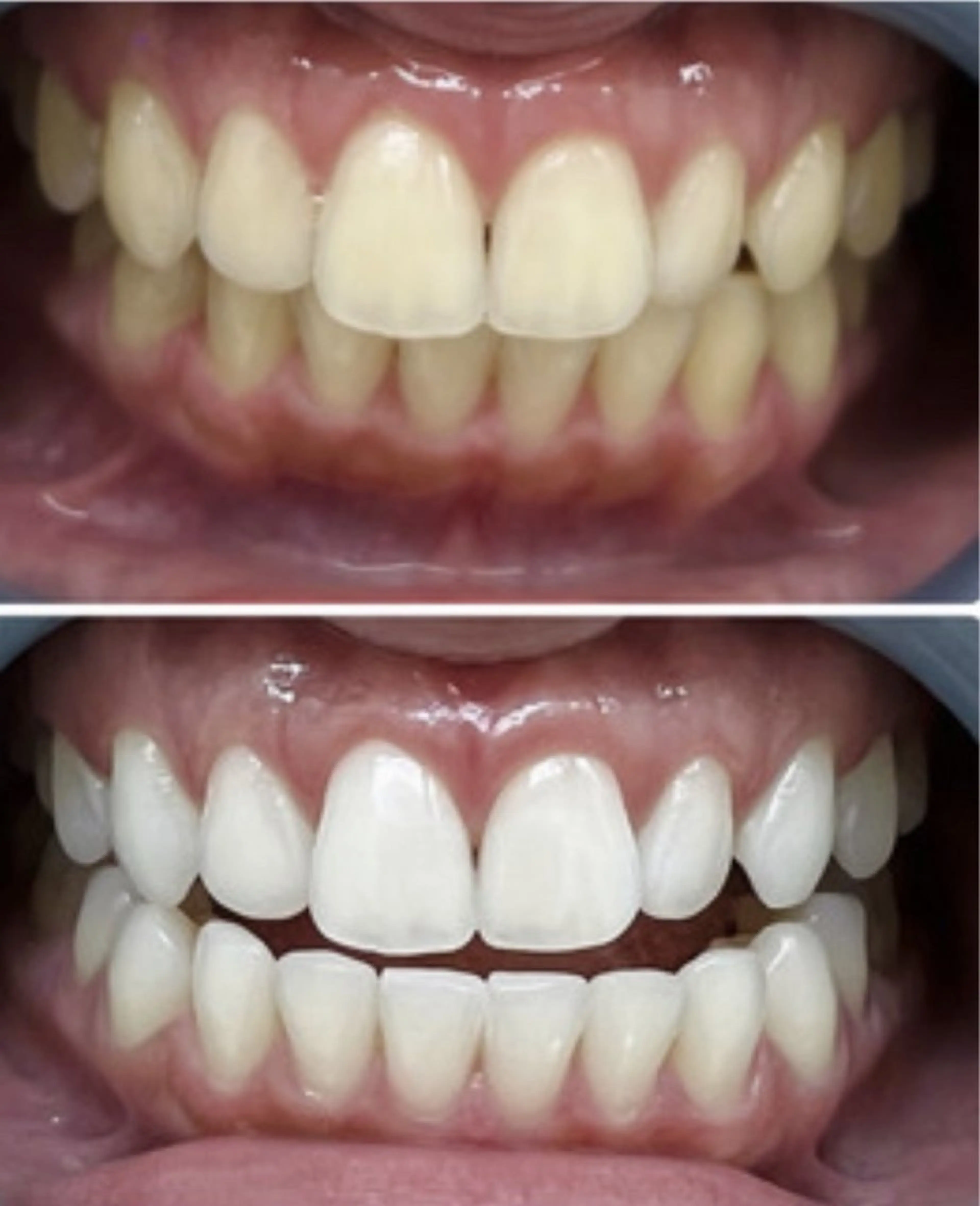
セルフホワイトニング専門店🦷✨最安/最短でお仕上げ☀️気になる黄ばみや汚れ/お悩みの解決/理想の実現はMW錦糸町店にお任せ下さい。まずは、初回コースで驚きと感動をご体験下さい🫨
気になる黄ばみや汚れをごっそり落としませんか? 〜MW錦糸町店の魅力〜 ・全店舗Google.yahooなど口コミ4.8以上 ・JR錦糸町駅徒歩2分 ・営業時間10:00-22:00 ・国内No1ホワイトニングブランドの最先端マシン導入 ・MW独自細かなのこだわり工程 ・個々に合った複数コース ・安心して行える全部屋個室 ・2回目以降も2,450円〜とエリア最安値 そして、お悩みの解決と理想の実現を目指します☀️ セルフホワイトニングとは、お客様ご自身でホワイトニングの行程を行なっていただくサービスです☺️ 一回あたりも低コストでサービスがご利用いただけるため、お仕事帰りや、学校帰り、空いた時間にホワイトニングができてしまう、今話題のサービスです🪥🦷✨ ※セルフホワイトニングでは、スタッフがお客様の口の中に何かしたり歯を削ったりといったことはありません。
セルフホワイトニングサロンMW 錦糸町店所属・セルフホワイトニング サロンMW錦糸町店のプロフィール
セルフホワイトニングサロンMW錦糸町店です🦷✨️ 当店では、個々のお悩みやご理解に沿って満足したいただけるように複数コースをご用意しております。また、ホワイトニングには個人差がありますが、当店ではデータ分析に沿って最短で理想を目指します。 是非一度、専門店ならではのホワイトニングをご体験下さい☀️
- 得意な施術
- ブライダルエステ、トータルプロデュース
- 得意なイメージ
- ナチュラル
- 施術について
- 清潔感のある白さを目指します🦷✨️
- 趣味・好きなこと
- サーフィン、韓流
- 資格・役職
- ホワイトニングアドバイザー






















