ログイン
美容室
美容室
ネイル
ネイル
マツエク
マツエク
眉毛サロン
眉毛サロン
エステ・リラク
エステ
カタログ
カタログ
トップ
エステ・リラク
栃木
下野市
whitening salon Shinee
セルフホワイトニング Shinee
エステ・リラクカタログ
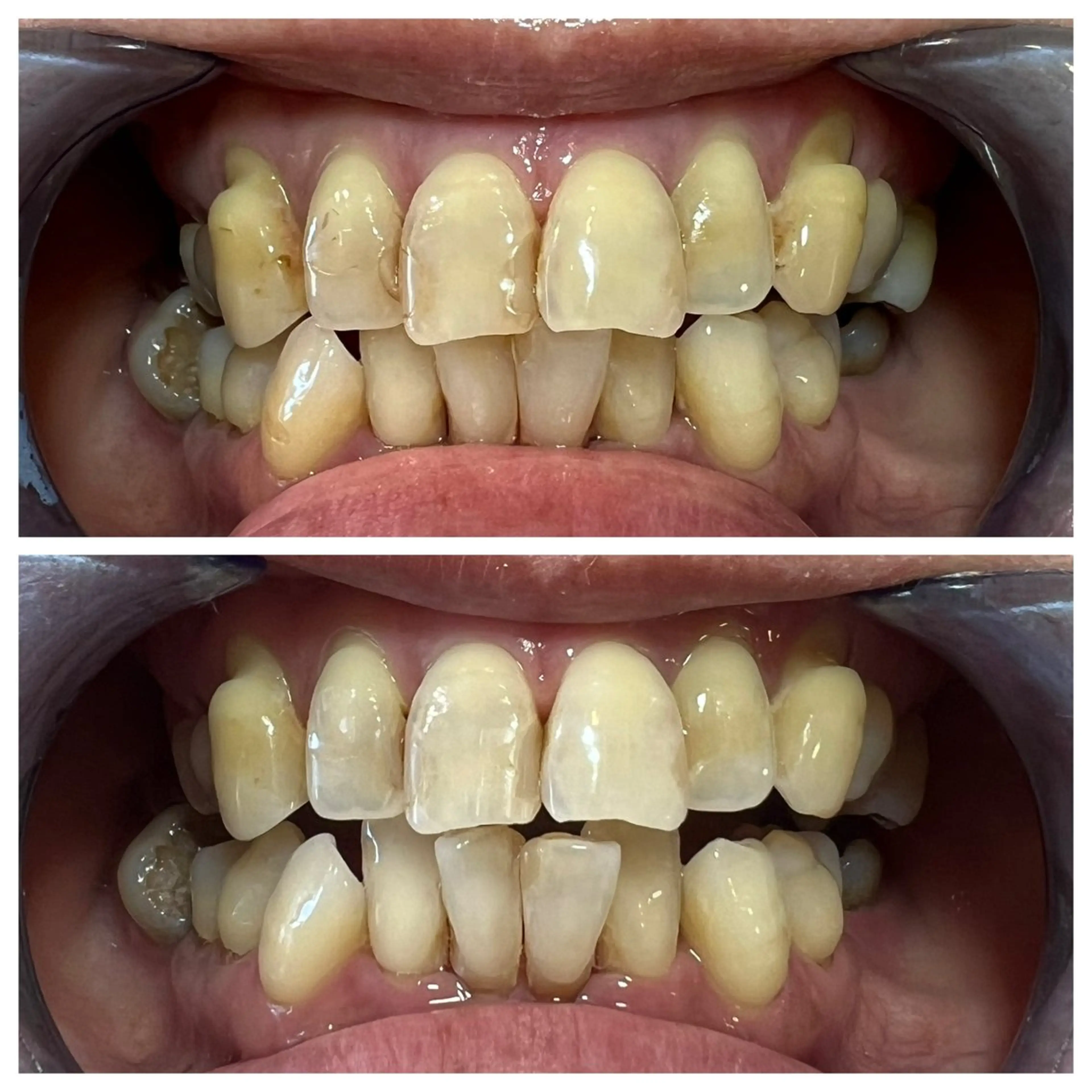
歯科医院の医療ホワイトニングを行うには厳しそうな歯の状態でも🦷ホワイトニングできます‼︎ 海外ジェル【
whitening salon Shinee
ホワイトニングサロンシャイニー
セルフホワイトニング Shinee
経験年数 5年
5.0
-
13
国谷駅20分
2025年10月4日
更新
トップ
フォト
メニュー
歯科医院の医療ホワイトニングを行うには厳しそうな歯の状態でも by セルフホワイトニング Shinee
歯科医院の医療ホワイトニングを行うには厳しそうな歯の状態でも🦷ホワイトニングできます‼︎ 海外ジェル【プレミアムジェル】4回。 かなりトーンアップ✨満足度も高くて私も嬉しいです♡
2025年9月21日(日)21:31投稿
セルフホワイトニング Shineeのエステ・リラクカタログ
フォトをすべて見る(70)
セルフホワイトニング Shineeのメニュー
エステ
初回限定ベーシックプラン
新規
¥3,500
予約
新規
¥3,500
予約
その他
ミニモ学割
新規
¥2,500
予約
新規
¥2,500
予約
その他
ママ応援プラン
新規
¥3,000
予約
新規
¥3,000
予約
whitening salon Shineeの詳細情報
whitening salon Shinee
栃木県下野市下長田
プライベートサロンのため、住所の詳細は予約確定後にメールでお知らせします
国谷駅20分
壬生Costcoから車で5分以内
エリア
下野市
営業時間
月 定休日 火 10:00-14:00 水 10:00-14:00 木 10:00-14:00 金 10:00-14:00 土 10:00-14:00 日 10:00-14:00 祝 10:00-14:00 不定休なので急遽お休みになる場合がございます。
お支払い
現金
現金可
クレジットカード
Mastercard / Visa / JCB / American Express / Diners Club / Discover
席数
1席
駐車場
あり
禁煙・喫煙
禁煙
お子様連れ
お子様連れ可
サロン電話番号
お問い合わせ先
セルフホワイトニング Shinee
フォト
メニュー
下野市で他におすすめのエステ・リラクゼーションサロン一覧
今日行ける下野市のエステ・リラクゼーションサロン
明日行ける下野市のエステ・リラクゼーションサロン
栃木県で他におすすめのエステ・リラクゼーションサロン一覧
今日行ける栃木県のエステ・リラクゼーションサロン
明日行ける栃木県のエステ・リラクゼーションサロン