ログイン
美容室
美容室
ネイル
ネイル
マツエク
マツエク
眉毛サロン
眉毛サロン
エステ・リラク
エステ
カタログ
カタログ
トップ
美容サロン
大阪
森ノ宮駅
whitening salon yatto.所属・ホワイトニングサロン yatto.
美容サロンカタログ
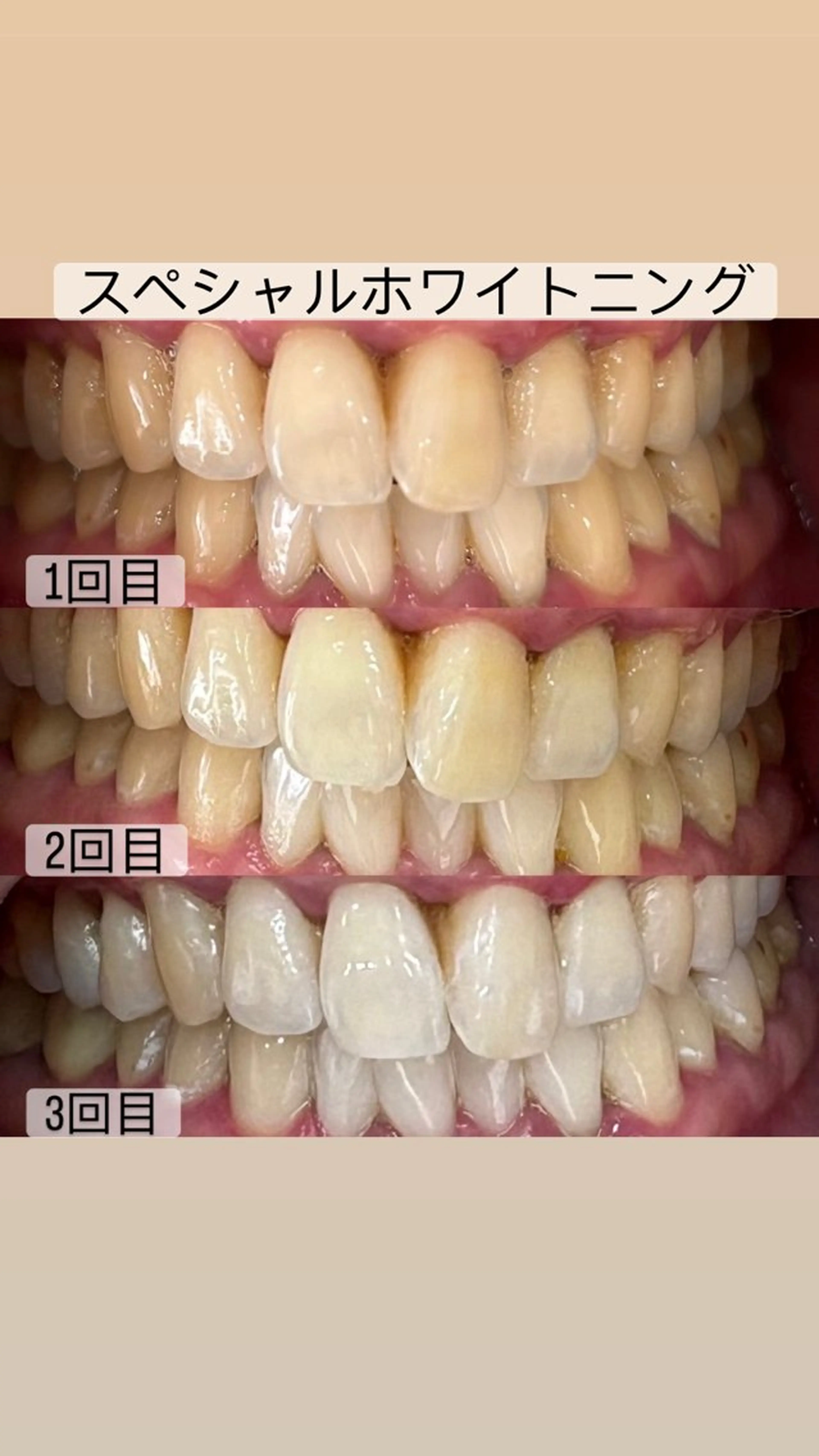
40代男性 スペシャルセルフホワイトニング3回までの変化です。 歯を綺麗にして清潔感を出したい!とご
whitening salon yatto.
ホワイトニングサロン yatto.
経験年数 10年以上
-
-
1
森ノ宮駅7分 / 玉造駅10分 / 大阪城公園駅10分
2025年11月27日
更新
トップ
フォト
メニュー
40代男性 スペシャルセルフホワイトニング3回までの変化です by whitening salon yatto.所属・ホワイトニングサロン yatto.
40代男性 スペシャルセルフホワイトニング3回までの変化です。 歯を綺麗にして清潔感を出したい!とご来店。 週1ペースで通われています。 綺麗になっていくご自身の歯を見て毎回喜んで帰られます。 4回目が終わったら1ヶ月に1回のメンテナンスに入っていきます🦷
2025年11月27日(木)14:56投稿
対応メニュー
その他
スペシャルセルフホワイトニング回数券 1番人気!【自分史上最高コース】12回券
全員
¥119,700
予約
全員
¥119,700
予約
一番人気のかなりお得な12回券になります。 通常177,300円→119,700円 スペシャルセルフホワイトニング通常6回より57,600円お得! 1回あたり9,975円! 約6回分がお得! 🗣️通い続けるなら断然回数券がお得!分割払いも可能です 初回の方のみ、歯のミネラルパック(500円)付き! 初めての方はカウンセリングをさせていただきますので、メニューの『無料カウンセリング』も同時にご予約お願いします。
詳細を見る
whitening salon yatto.所属・ホワイトニングサロン yatto.の美容サロンカタログ
フォトをすべて見る(17)
whitening salon yatto.所属・ホワイトニングサロン yatto.のメニュー
その他
無料カウンセリング
全員
¥0
アプリで予約
全員
¥0
アプリで予約
アプリから予約可能なメニューです
その他
限定!新成人記念キャンペーン!
全員
¥9,800
予約
全員
¥9,800
予約
エステ
20名限定!美容セルフホワイトニング1ヶ月通い放題
全員
¥20,000
予約
全員
¥20,000
予約
その他
美容セルフホワイトニング【一般】初回60分
新規
¥4,500
予約
新規
¥4,500
予約
その他
美容セルフホワイトニング【学生】初回60分
新規
¥3,000
予約
新規
¥3,000
予約
メニューをすべて見る(15)
whitening salon yatto.の詳細情報
whitening salon yatto.
大阪府大阪市東成区中道1-10-19 レジデンスカナイ2F (
地図
)
森ノ宮駅7分 / 玉造駅10分 / 大阪城公園駅10分
エリア
森ノ宮駅
営業時間
月 09:00-18:00 火 09:00-18:00 水 09:00-18:00 木 09:00-18:00 金 09:00-18:00 土 定休日 日 09:00-18:00 祝 定休日
お支払い
現金
現金可
クレジットカード
Mastercard / Visa / JCB / American Express
席数
2席
駐車場
近くにコインパーキングあり
禁煙・喫煙
禁煙
お子様連れ
お子様連れ可
その他
メンズ歓迎
サロン電話番号
お問い合わせ先
ホワイトニングサロン yatto.
フォト
メニュー
大阪市東成区で他におすすめの美容サロン一覧
明日行ける大阪市東成区の美容サロン
メンズも歓迎な大阪市東成区の美容サロン
ヘアセットができる大阪市東成区の美容サロン
ヘッドスパができる大阪市東成区の美容サロン
大阪府で他におすすめの美容サロン一覧
明日行ける大阪府の美容サロン
メンズも歓迎な大阪府の美容サロン
ヘアセットができる大阪府の美容サロン
ヘッドスパができる大阪府の美容サロン
whitening salon yatto.付近の駅の美容サロンを探す
森ノ宮駅
玉造駅
緑橋駅
大阪城公園駅
鶴橋駅